Ирина К.
Ekspert - Osoba prywatna
Na Findout od 03.2026
Dodaj opinię
Oczekiwanie na zamówienie
Ekspert mówi:
Русский, Українська, Polski
Zawody eksperta
Ortodonta, Stomatolog zachowawczy, Stomatolog dziecięcy, Stomatolog estetyczny
O ekspercie
Jeśli marzysz o pięknym, zdrowym i naturalnym uśmiechu, jesteś we właściwym miejscu. Jako stomatolog specjalizujący się w ortodoncji, bondingu i estetyce uśmiechu, pomagam pacjentom w każdym wieku osiągnąć efekty, które realnie zwiększają pewność siebie. Przyjmuję również dzieci, dbając o przyjazną atmosferę i bezstresowy przebieg wizyt.
Pracuję w oparciu o nowoczesne technologie i indywidualne podejście, dzięki czemu leczenie jest precyzyjne, komfortowe i przewidywalne. Niezależnie od tego, czy chodzi o wyrównanie zgryzu, poprawę estetyki uśmiechu czy subtelną metamorfozę za pomocą bondingu - dbam o każdy detal.
Moim celem jest nie tylko piękny efekt końcowy, ale także Twój komfort i pełne zrozumienie na każdym etapie leczenia. Twoja nowa uśmiech może być bliżej, niż myślisz - pozwól, że Ci w tym pomogę.
Obszar obsługi
Obszar świadczenia usług 1
Miasto:Warszawa
Dzielnica:Nie określono
Osiedle:Nie określono
Stacja metra:Nie określono
Promień świadczenia usług:10 km
Ulica:Żelazna 51
Edukacja
Стоматология
Харьковский национальный медицинский университет
09.2012 07.2020
Certyfikaty
Сертификат
invisalign
2024
Usługi eksperta: 5

0
49
100 EUR
Uszkodzone przednie zęby estetyczna odbudowa kompozytowa Warszawa
ИИрина К.
OceńDodaj opinię
Żelazna 51

0
50
2000 EUR
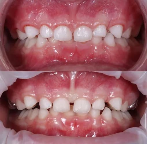
Wada zgryzu leczenie aparatem ortodontycznym (brakiety) Warszawa
ИИрина К.
OceńDodaj opinię
Żelazna 51

0
51
2000 EUR
Wada zgryzu u dziecka leczenie ortodontyczne dzieci Warszawa
ИИрина К.
OceńDodaj opinię
Żelazna 51

0
53
2500 EUR
Nierówny zgryz leczenie alignerami (nakładkami) Warszawa
ИИрина К.
OceńDodaj opinię
Żelazna 51

0
54
80 EUR
Ubytek w zębie wypełnienie kompozytowe u stomatologa Warszawa
ИИрина К.
OceńDodaj opinię
Żelazna 51
Gotowy skontaktować się z Ирина К. bezpośrednio i za darmo?
Ирина К.
Ekspert - Osoba prywatna
Na Findout od 03.2026
Dodaj opinię
Ekspert mówi:
Русский, Українська, Polski