Uszkodzone przednie zęby estetyczna odbudowa kompozytowa Warszawa






Cena od 100 EUR za usługę
OceńDodaj opinię
Oczekiwanie na zamówienie
Ekspert mówi:
Русский, Українська, Polski
Obszar świadczenia usług 1
Miasto:Warszawa
Dzielnica:Wola
Osiedle:Nie określono
Stacja metra:Nie określono
Promień świadczenia usług:10 km
Ulica:Żelazna 51
Dodatkowe informacje
- Transmisja na żywoWkrótce
- Zatrudnienie:Główna praca
- Dokumenty zweryfikowane
Opis
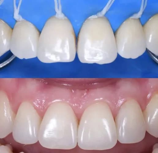
Jeśli masz uszkodzone przednie zęby, estetyczna odbudowa kompozytowa w Warszawie pozwala szybko przywrócić ich naturalny kształt, kolor i funkcję. To jedna z najczęściej wybieranych metod leczenia w przypadku ukruszeń, pęknięć lub drobnych ubytków w strefie estetycznej uśmiechu.
Podczas wizyty stomatolog w Warszawa dokładnie ocenia stopień uszkodzenia zęba i dobiera odpowiednią technikę odbudowy. Materiał kompozytowy jest precyzyjnie modelowany i warstwowo nakładany, dzięki czemu można idealnie odtworzyć naturalny wygląd zęba, dopasowując go do pozostałych zębów. Zabieg wykonywany jest w znieczuleniu miejscowym, dzięki czemu jest komfortowy i bezbolesny.
Odbudowa kompozytowa pozwala nie tylko poprawić estetykę, ale także zabezpieczyć ząb przed dalszymi uszkodzeniami i nadwrażliwością. Efekt jest widoczny od razu po wizycie i przy odpowiedniej higienie może utrzymywać się przez długi czas.
W ramach stomatologii w Warszawa możesz szybko odzyskać estetyczny uśmiech i pewność siebie dzięki nowoczesnym metodom odbudowy.
Edukacja i doświadczenie
- Харьковский национальный медицинский университет
Więcej usług od Ирина К.
Recenzje i oceny dla tej usługi
0.00
0 recenzji
- 5
- 4
- 3
- 2
- 1
Brak recenzji dla tej usługi
Gotowy skontaktować się z Ирина К. bezpośrednio i za darmo?
Ирина К.
Ekspert - Osoba prywatna
Na Findout od 05.2026
[object Object] (undefined)
Ekspert mówi:
Русский, Українська, Polski
Podobne usługi innych specjalistów
Dane zostały wprowadzone przez wolontariuszy z otwartych źródeł. Jeśli to Twój biznes i chcesz wprowadzić zmiany, skontaktuj się z nami.
ID usługi #13749
Opublikowano: 30.03.2026


