Wada zgryzu leczenie aparatem ortodontycznym (brakiety) Warszawa












Cena od 2000 EUR za usługę
OceńDodaj opinię
Oczekiwanie na zamówienie
Ekspert mówi:
Русский, Українська, Polski
Obszar świadczenia usług 1
Miasto:Warszawa
Dzielnica:Wola
Osiedle:Nie określono
Stacja metra:Nie określono
Promień świadczenia usług:10 km
Ulica:Żelazna 51
Dodatkowe informacje
- Transmisja na żywoWkrótce
- Zatrudnienie:Główna praca
- Dokumenty zweryfikowane
Opis
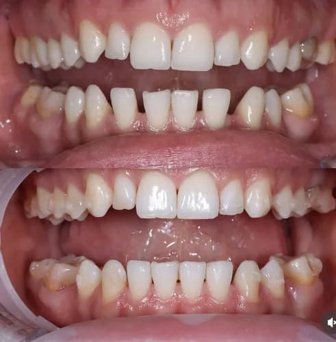
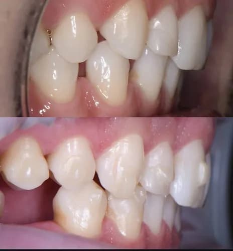
Jeśli masz wadę zgryzu, leczenie aparatem ortodontycznym (stałe „brakiety”) w Warszawie pozwala stopniowo i skutecznie wyrównać zęby oraz poprawić funkcję całego zgryzu. To rozwiązanie stosowane zarówno w przypadku stłoczeń zębów, szpar między zębami, jak i bardziej złożonych nieprawidłowości ustawienia szczęk.
Podczas wizyty ortodonta w Warszawa przeprowadza dokładną diagnostykę, często z użyciem zdjęć RTG i skanów 3D, aby zaplanować indywidualne leczenie. Aparat stały (brakiety przyklejane do zębów i połączone łukiem ortodontycznym) działa poprzez delikatne, kontrolowane przesuwanie zębów do prawidłowej pozycji.
Leczenie ortodontyczne wymaga regularnych wizyt kontrolnych, podczas których aparat jest aktywowany i dostosowywany do postępów. Choć proces trwa zwykle kilkanaście miesięcy, efektem jest nie tylko estetyczny uśmiech, ale także lepsza higiena, prawidłowe żucie i mniejsze ryzyko chorób zębów oraz dziąseł.
W ramach ortodoncji w Warszawa możesz skutecznie skorygować wadę zgryzu i uzyskać stabilny, zdrowy efekt na lata dzięki nowoczesnym metodom leczenia.
Edukacja i doświadczenie
- Харьковский национальный медицинский университет
Więcej usług od Ирина К.
Recenzje i oceny dla tej usługi
0.00
0 recenzji
- 5
- 4
- 3
- 2
- 1
Brak recenzji dla tej usługi
Gotowy skontaktować się z Ирина К. bezpośrednio i za darmo?
Ирина К.
Ekspert - Osoba prywatna
Na Findout od 05.2026
[object Object] (undefined)
Ekspert mówi:
Русский, Українська, Polski
Podobne usługi innych specjalistów
Dane zostały wprowadzone przez wolontariuszy z otwartych źródeł. Jeśli to Twój biznes i chcesz wprowadzić zmiany, skontaktuj się z nami.
ID usługi #13750
Opublikowano: 30.03.2026


