Встановлення брекетів для вирівнювання зубів у Варшаві









Ціна від 3000 EUR за послугу
ОцінітьОцініть першим
В очікуванні замовлення
Експерт говорить:
Polski, Українська, Русский
Зона обслуговування 1
Місто:Варшава
Район міста:Середмістя
Мікрорайон міста:Не вказано
Станція метро:Не вказано
Радіус обслуговування:10 км
Вулиця:Wybrzeże Kościuszkowskie 43B
Додаткова інформація
- Онлайн-трансляціяНезабаром
- Зайнятість:Основна робота
- Документи підтверджені
Опис
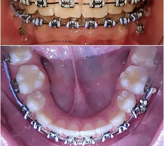
Нерівні зуби - це не лише дзеркальна проблема. Вони створюють «слабкі місця», де наліт накопичується швидше, а карієс з’являється частіше. З часом неправильне навантаження може призвести до стирання емалі, захворювань ясен і навіть до проблем зі скронево-нижньощелепним суглобом.
Сучасна ортодонтія у Варшаві вирішує це комплексно. Перший крок - консультація, під час якої лікар робить панорамний знімок та 3D-скан, щоб побачити не лише видимі дефекти, а й те, що приховано: положення коренів, стан кістки, зачатки зубів мудрості. На основі діагностики ви разом обираєте брекет-систему: металеву (надійну, яка працює швидше), керамічну (менш помітну) або лінгвальну, яку кріплять із внутрішнього боку зубів і вона зовсім не видна оточуючим. Далі лікар фіксує систему та регулярно (раз на 4-8 тижнів) активує дуги, поступово переміщуючи зуби в ідеальне положення. Результат - рівна посмішка, правильний прикус і легша гігієна.
У Варшаві багато ортодонтів, які говорять українською. Знайти свого легко через платформу FindOUT: ви напряму зв’язуєтеся з лікарем, обговорюєте вартість діагностики та лікування без посередників, уточнюєте всі деталі рідною мовою.
Освіта та досвід
- Национальный медицинский университет им. О. Богомольца в Киеве
Інші послуги від Ирина К.

0
5
3000 EUR
Виправлення прикусу без брекетів - Invisalign у Варшаві
ИИрина К.
0(0)
Wybrzeże Kościuszkowskie 43B

0
8
20 EUR
Панорамний знімок зубів - діагностика всього прикусу у Варшаві
ИИрина К.
0(0)
Wybrzeże Kościuszkowskie 43B

0
4
23 EUR
Консультація ортодонта з діагностикою прикусу у Варшаві
ИИрина К.
0(0)
Wybrzeże Kościuszkowskie 43B

0
7
25 EUR
Оцінка прикусу у дитини - консультація дитячого ортодонта Варшава
ИИрина К.
0(0)
Wybrzeże Kościuszkowskie 43B
Відгуки та оцінки по даній послузі
0.00
0 відгуків
- 5
- 4
- 3
- 2
- 1
Поки немає відгуків по даній послузі
Готові зв'язатися з Ирина К. напряму та безкоштовно?
Ирина К.
Експерт - Приватна особа
На Findout з 05.2026
[object Object] (undefined)
Експерт говорить:
Polski, Українська, Русский
Схожі послуги інших експертів
Дані внесені волонтерами з відкритих джерел, якщо це ваш бізнес і ви хочете внести зміни, зв'яжіться з нами.
ID послуги №13706
Опубліковано: 25.03.2026

