Імплант зуба з коронкою – повне відновлення у Варшаві



Ціна від 200 EUR за послугу
ОцінітьОцініть першим
В очікуванні замовлення
Експерт говорить:
Polski, Русский, Українська
Зона обслуговування 1
Місто:Варшава
Район міста:Прага-Північна
Мікрорайон міста:Не вказано
Станція метро:Не вказано
Радіус обслуговування:10 км
Вулиця:Władysława Szernera 3
Додаткова інформація
- Онлайн-трансляціяНезабаром
- Зайнятість:Основна робота
- Документи підтверджені
Опис
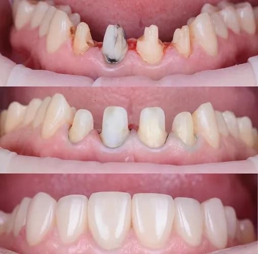
Сучасне рішення - імплант зуба з коронкою, яке у Варшаві дозволяє повністю відновити втрачений зуб без шкоди для здоров’я поруч.
Імплантація починається з точної діагностики: лікар робить 3D КТ зубів, щоб оцінити об’єм кісткової тканини, розташування нервів та гайморових пазух. За потреби проводиться кісткова пластика. Сама операція проходить під місцевою анестезією: у щелепу встановлюється титановий імплант, який виконує роль штучного кореня. Через 3-6 місяців, після повного зрощення з кісткою, на імплант фіксують індивідуально виготовлену коронку — за кольором, формою та прозорістю вона ідеально імітує природний зуб. Результат — міцний, довговічний зуб, який не потребує особливого догляду, не обмежує в їжі та служить десятиліттями.
Знайти досвідченого імплантолога у Варшаві, який розмовляє українською, легко через платформу FindOUT.
Освіта та досвід
- Национальный медицинский университет им. Александра Богомолча
- Варшавский медицинский университет
Інші послуги від Валерий У.
Відгуки та оцінки по даній послузі
0.00
0 відгуків
- 5
- 4
- 3
- 2
- 1
Поки немає відгуків по даній послузі
Готові зв'язатися з Валерий У. напряму та безкоштовно?
Валерий У.
Експерт - Приватна особа
На Findout з 05.2026
[object Object] (undefined)
Експерт говорить:
Polski, Русский, Українська
Схожі послуги інших експертів
Дані внесені волонтерами з відкритих джерел, якщо це ваш бізнес і ви хочете внести зміни, зв'яжіться з нами.
ID послуги №13700
Опубліковано: 24.03.2026

